1. ホームhome
  2. MENU01menu01
    • Page01
    • Page02
    • Page03
    • Page04
  3. MENU02menu02
    • Page05
    • Page06
  4. MENU03menu03
    • Page07
    • Page08
  5. PAGE09page09
  6. PAGE10page10

さいたま市大宮区の堀江歯科医院です。

堀江歯科医院

大宮駅東口より徒歩7分、医院の横に駐車場あります。

電話番号
文字サイズ 小 中 大
  • HOME
  • 医院紹介
  • 院内紹介
  • アクセス
  • 診療項目
  • 治療費
ホーム  > 診療項目  > 一般歯科(虫歯・歯周病)

一般歯科(虫歯・歯周病)

虫歯

C0~C1
C0~C1
状態 : 歯の表面(エナメル質)だけが溶けている状態です。
症状 : 痛みもありません。自覚症状がないので、定期健診などでしか発見するのが難しい状態です。
治療法 : まだ軽い症状ではあるので、プラークコントロールなどの1、2回の通院での完治も可能です。
C2
C2
状態 : 歯の硬い部分(エナメル質)を貫通し、やわらかい部分(象牙質)にまで虫歯が進行してしまっている状態です。
症状 : 歯がしみるなどの軽い自覚症状が発生する場合もあります。
治療法 : C1に比べると、虫歯が大きくなってはいますので、その部分を削り金属のかぶせ物などが必要になってきます。
C3
C3
状態 : 歯の神経まで達している深い虫歯です。
症状 : 冷たいもので歯がしみる、咬んだときに痛みを伴うなど、多くの方が自覚症状が発生します。
治療法 : 麻酔をもちいて歯の神経を取りのぞきます。さらに根管(神経の入っている管)を消毒しかぶせ物をします。
C4
C4
状態 : 歯の根元まで虫歯が到達してしまった状態です。
症状 : 歯が根元しか残っていない状態です。
治療法 : C3と同様の治療のほかに、抜歯をしなければなない場合がほとんどで、入れ歯やブリッジなどの治療が必要になります。

歯周病・歯肉炎

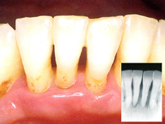
軽度歯周病
軽度歯周病
状態 : プラーク(歯の汚れ)が固まることによって、歯石となります。
症状 : 歯ぐきが赤くはれ上がり、ぶよぶよしてきます。骨が溶けだす場合もあります。歯ぐきから血やうみが出て口臭も強くなります。
治療法 : 外科手術(歯ぐきを切開して歯石やプラークをとる)や歯周再生療法(歯槽骨などの組織を再生する)が必要になります。
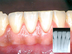
中等度歯周病
中度歯周病
状態 : プラーク(歯の汚れ)が固まることによって、歯石となります。
症状 : 歯ぐきが赤くはれ上がり、ぶよぶよしてきます。骨が溶けだす場合もあります。歯ぐきから血やうみが出て口臭も強くなります。
治療法 : 外科手術(歯ぐきを切開して歯石やプラークをとる)や歯周再生療法(歯槽骨などの組織を再生する)が必要になります。
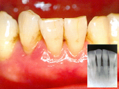
重度歯周病
重度歯周病
状態 : 歯ぐきが下がり、骨も半分以上溶けている状態で歯根が見えている状態です。
症状 : 歯がぐらぐらし、歯が抜けることが多いです。食べものを咬むことも難しくなります。
治療法 : 多くの場合、抜歯することになります。
  • 一般歯科(虫歯・歯周病)
  • 小児歯科(フッ素塗布・シーラント)
  • 予防治療(定期検診)
  • 義歯(入れ歯)
  • 口腔外科(親知らず他)
  • 審美治療
  • 矯正歯科
リンク集

埼玉県さいたま市大宮区下町2-51-8
コーポKEN1階

アクセス
大宮駅東口から徒歩7分

診療時間
9:30-13:30、15:00-19:00
土曜日:18:00まで
休診日:木、日、祝日
※祝日のある週は、木曜日に代替で診療いたします。

診療のお問い合わせ・ご予約は、
お電話にて承ります。

TEL:048-657-3111

電話受付時間:9:30-19:00

堀江歯科医院 歯科衛生士さん募集しています

堀江歯科医院

大宮駅歯医者

空き確認 ネット予約

ページの先頭へ

TEL:048-657-3111

WEB予約

  • HOME |
  • 院内紹介 |
  • 医院紹介 |
  • アクセス |
  • 診療項目 |
  • 治療費 |
  • リンク集
  • | サイトマップ
堀江歯科医院
院長: 堀江正男
住所: 埼玉県さいたま市大宮区下町2-51-8
コーポKEN1階
アクセス: 大宮駅東口から徒歩7分

診療のお問い合わせ・ご予約は、お電話にて承ります。

休診日:木曜・日曜・祝日 (※祝日のある週は、木曜日に代替で診療いたします。)

TEL:048-657-3111

診療科目:一般歯科、小児歯科、予防治療、義歯、口腔外科、審美治療、矯正歯科

※日本にお住まい・滞在の外国人の方へ※当院では、外国の方の診療も行っています。ご予約の際は、お電話にてご予約ください。
We examine foreigners living or staying in Japan.