1. ホームhome
  2. MENU01menu01
    • Page01
    • Page02
    • Page03
    • Page04
  3. MENU02menu02
    • Page05
    • Page06
  4. MENU03menu03
    • Page07
    • Page08
  5. PAGE09page09
  6. PAGE10page10

さいたま市大宮区の堀江歯科医院です。

堀江歯科医院

大宮駅東口より徒歩7分、医院の横に駐車場あります。

電話番号
文字サイズ 小 中 大
  • HOME
  • 医院紹介
  • 院内紹介
  • アクセス
  • 診療項目
  • 治療費
ホーム  > 診療項目  > 口腔外科(親知らず他)

口腔外科(親知らず他)

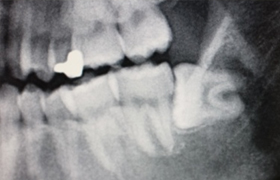
親知らず

親知らず

親知らずとは前から数えて8番目の歯で正式には第3大臼歯、または智歯といわれます。
この親知らずが横向きに生えてきたりすると周りの歯肉が炎症を起こします。これを智歯周囲炎といいます。
痛くなったり腫れてきたり、さらに症状が強くなると口が開きにくくなることもあります。また親知らず自体が虫歯になったり隣接する第2大臼歯を虫歯にしたり、様々なトラブルを起こす場合が多い歯です。
症状と親知らずの状態から保存した方が良いか、抜歯した方が良いかよく診断し処置いたします。

笑気吸入鎮静法

笑気吸入鎮静法

適応症
(1)歯科治療に対する不安、恐怖などの精神的緊張が強い方
(2)長時間の治療が必要な方
(3)通常の歯科治療はストレスが大きく全身状態が悪化する高血圧、心疾患など内科的疾患を有する方
(4)過去に歯科治療において気分不良や意識消失などの既往があり、その原因に精神的要因が強いと考えられる方
 
使用方法
(1)鼻にマスクをあて笑気(亜酸化窒素)20~30%、純酸素70~80%の混合ガスを鼻呼吸していただきます。
(2)速やかに鎮静作用が現れ術中は至適鎮静状態を得られるよう笑気の濃度を調節しながら治療を行います。
(3)治療後は酸素を数分間吸入していただき意識明瞭となったところで終了。
 
全身麻酔とは異なり術中は鎮静状態(リラックス状態)で意識はあり体は動かせます。会話をすることもできます。
健康保険適応です。

顎関節症

顎関節症

顎の関節や筋肉が痛んだり、口を開けた時に顎の関節に音がしたり、口が大きく開けれなくなるなど症状が顎関節症の代表的なものです。
原因として、咬み合わせや歯ぎしり、くいしばり、ストレスなどが積み重なって起こると考えられています。

  • 一般歯科(虫歯・歯周病)
  • 小児歯科(フッ素塗布・シーラント)
  • 予防治療(定期検診)
  • 義歯(入れ歯)
  • 口腔外科(親知らず他)
  • 審美治療
  • 矯正歯科
リンク集

埼玉県さいたま市大宮区下町2-51-8
コーポKEN1階

アクセス
大宮駅東口から徒歩7分

診療時間
9:30-13:30、15:00-19:00
土曜日:18:00まで
休診日:木、日、祝日
※祝日のある週は、木曜日に代替で診療いたします。

診療のお問い合わせ・ご予約は、
お電話にて承ります。

TEL:048-657-3111

電話受付時間:9:30-19:00

堀江歯科医院 歯科衛生士さん募集しています

堀江歯科医院

空き確認 ネット予約

ページの先頭へ

TEL:048-657-3111

WEB予約

  • HOME |
  • 院内紹介 |
  • 医院紹介 |
  • アクセス |
  • 診療項目 |
  • 治療費 |
  • リンク集
  • | サイトマップ
堀江歯科医院
院長: 堀江正男
住所: 埼玉県さいたま市大宮区下町2-51-8
コーポKEN1階
アクセス: 大宮駅東口から徒歩7分

診療のお問い合わせ・ご予約は、お電話にて承ります。

休診日:木曜・日曜・祝日 (※祝日のある週は、木曜日に代替で診療いたします。)

TEL:048-657-3111

診療科目:一般歯科、小児歯科、予防治療、義歯、口腔外科、審美治療、矯正歯科

※日本にお住まい・滞在の外国人の方へ※当院では、外国の方の診療も行っています。ご予約の際は、お電話にてご予約ください。
We examine foreigners living or staying in Japan.